Nha khoa trẻ em

Nha khoa APEX cung cấp dịch vụ chăm sóc răng miệng toàn diện cho trẻ em: Thăm khám, trám răng, nhổ răng sữa, chỉnh nha sớm. Nhẹ nhàng, an toàn, chuyên nghiệp.

Chỉnh Nha Sớm Cho Trẻ: Đầu Tư Cho Sức Khỏe Và Tương Lai Chỉnh nha sớm là quá trình can thiệp nha khoa khi trẻ [...]

Dấu Hiệu Cần Đưa Trẻ Đi Trám Răng Sữa Đừng chủ quan với những dấu hiệu sau đây, vì chúng có thể là “lời kêu [...]

Vì Sao Răng Sữa Cần Phải Chữa Tủy? Nhiều bậc phụ huynh thường nghĩ rằng răng sữa không quan trọng vì sẽ được thay thế [...]

Chụp thép răng sữa là một giải pháp hiệu quả và an toàn để bảo vệ những chiếc răng sữa bị tổn thương, giúp trẻ [...]

Vì Sao Bôi Fluor Lại Quan Trọng Cho Răng Sữa Của Trẻ? Tác hại của sâu răng sữa Sâu răng sữa không chỉ gây đau [...]

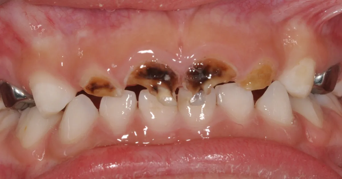
SDF Là Gì? Giải Pháp Mới Ngăn Ngừa Sâu Răng Cho Trẻ Em SDF (Silver Diamine Fluoride) là gì? SDF là một dung dịch không [...]

Tư vấn miễn phí

Hãy để lại thông tin của Quý khách để được nhận tư vấn miễn phí.