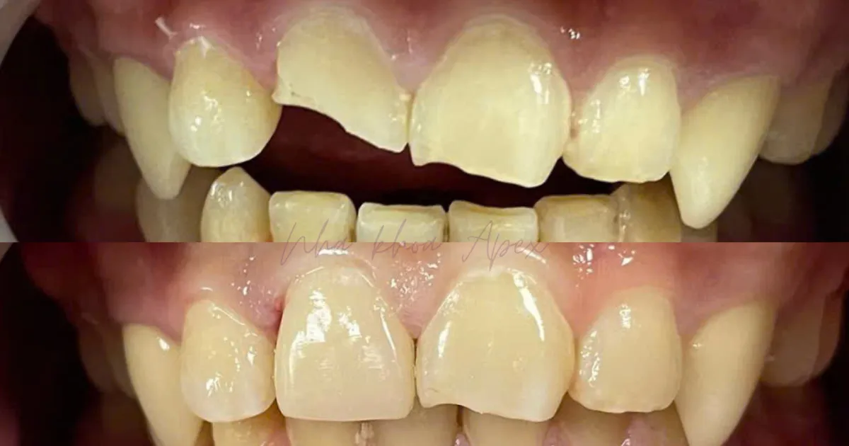
Trám Răng Thẩm Mỹ: Giải Pháp Cho Nụ Cười Hoàn Hảo
Trám răng thẩm mỹ là kỹ thuật nha khoa sử dụng vật liệu composite có màu sắc tự nhiên như răng thật để lấp đầy các lỗ sâu, vết nứt, mẻ, hoặc khoảng trống trên răng. Mục đích chính là khôi phục hình dáng, cải thiện chức năng ăn nhai và nâng cao tính thẩm mỹ cho nụ cười.
Khi Nào Bạn Cần Trám Răng Thẩm Mỹ?
- Răng bị sâu từ nhẹ đến vừa phải.
- Răng bị mẻ hoặc vỡ một phần nhỏ.
- Răng có hình dáng không đều hoặc kém thẩm mỹ.
- Răng bị thưa kẽ gây mất tự tin.
- Răng bị mòn cổ răng hoặc mòn mặt nhai.
- Răng bị đổi màu do nhiều nguyên nhân.

Vật Liệu Trám Răng Thẩm Mỹ Phổ Biến Tại Nha Khoa APEX
Hiện nay Nha khoa Apex thường dùng vật liệu trám là Composite.
Composite: Đây là vật liệu trám răng phổ biến nhất hiện nay, được ưa chuộng nhờ những ưu điểm vượt trội:
- Tính thẩm mỹ cao: Màu sắc tự nhiên, giống hệt răng thật, khó phân biệt bằng mắt thường.
- An toàn: Không gây kích ứng, tương thích sinh học tốt với mô răng.
- Độ bền cao: Chịu lực tốt, ít bị mài mòn, có thể sử dụng lâu dài (5-10 năm hoặc hơn, tùy thuộc vào cách chăm sóc).
- Ít xâm lấn: Chỉ cần mài rất ít mô răng (hoặc không cần mài trong một số trường hợp).
Nha Khoa APEX sử dụng vật liệu trám composite cao cấp, có nguồn gốc xuất xứ rõ ràng như Composite Harmonize của Mỹ, và Palfique LX5 Tokuyama của Nhật, đảm bảo chất lượng và an toàn cho khách hàng.

Quy Trình Trám Răng Thẩm Mỹ An Toàn, Không Đau Tại Nha Khoa APEX
Bước 1: Thăm khám và tư vấn
Bác sĩ sẽ kiểm tra kỹ lưỡng tình trạng răng miệng, xác định mức độ hư tổn và tư vấn phương án trám răng phù hợp. Chụp X-quang (nếu cần).
Bước 2: Vệ sinh răng miệng
Răng được làm sạch kỹ lưỡng để loại bỏ mảng bám, cao răng và vi khuẩn.
Bước 3: Gây tê (nếu cần)
Với răng nhạy cảm, bác sĩ sẽ gây tê cục bộ để bạn hoàn toàn thoải mái trong suốt quá trình.
Bước 4: Sửa soạn xoang trám
Bác sĩ sẽ mài nhẹ vùng răng bị hư tổn (nếu cần) và sử dụng vật liệu chuyên dụng để tạo bề mặt bám dính tốt cho vật liệu trám.
Bước 5: Chọn màu composite
Màu sắc composite được lựa chọn tỉ mỉ để trùng khớp với màu răng thật của bạn.
Bước 6: Đắp composite và tạo hình
Bác sĩ sẽ khéo léo đắp composite lên vùng răng cần trám, tạo hình răng sao cho tự nhiên và hài hòa nhất.
Bước 7: Chiếu đèn Halogen
Sử dụng ánh sáng Halogen (hoặc đèn LED) để làm cứng composite (quá trình quang trùng hợp).
Bước 8: Chỉnh sửa và hoàn thiện
Bác sĩ sẽ kiểm tra khớp cắn, điều chỉnh hình dáng răng và đánh bóng bề mặt trám để răng trơn láng, tự nhiên.

Bảng Giá Trám Răng Thẩm Mỹ Tại Nha Khoa APEX – Hợp Lý, Minh Bạch
Chi phí trám răng thẩm mỹ tại Nha Khoa APEX luôn được công khai, minh bạch và phù hợp với chất lượng dịch vụ.
| Dịch vụ | Đơn vị tính | Đơn giá (VNĐ) |
| Trám răng thẩm mỹ | Răng | 300.000 – 600.000 |
Vì Sao Nên Chọn Nha Khoa APEX Để Trám Răng Tại Cần Thơ?
Đội ngũ bác sĩ chuyên môn cao: Bác sĩ tại APEX có trên 15 năm kinh nghiệm trong lĩnh vực trám răng thẩm mỹ, thường xuyên được đào tạo, nâng cao tay nghề.

Cơ sở vật chất hiện đại: Nha Khoa APEX đầu tư trang thiết bị tiên tiến, nhập khẩu từ các nước có nền nha khoa phát triển, đảm bảo an toàn, chính xác và hiệu quả cao.
Vật liệu trám cao cấp: APEX cam kết sử dụng vật liệu composite chính hãng, chất lượng cao (Composite Harmonize của Mỹ, Palfique LX5 Tokuyama của Nhật), có nguồn gốc rõ ràng, đảm bảo an toàn cho sức khỏe.
Quy trình chuẩn, không đau: Quy trình trám răng tại APEX tuân thủ nghiêm ngặt các tiêu chuẩn y tế, vô trùng tuyệt đối, hạn chế tối đa cảm giác đau và khó chịu.
Dịch vụ tận tâm, chuyên nghiệp: APEX luôn đặt sự hài lòng của khách hàng lên hàng đầu, mang đến trải nghiệm dịch vụ tốt nhất.
Chế độ bảo hành: Nha khoa APEX luôn có những chính sách bảo hành để đảm bảo quyền lợi cho khách hàng.

Những Lưu Ý Quan Trọng Sau Khi Trám Răng Thẩm Mỹ
Chế độ ăn uống:
- Tránh ăn uống ngay sau khi trám (khoảng 30-60 phút).
- Hạn chế thức ăn quá cứng, dai, dính trong vài ngày đầu.
- Tránh đồ ăn, thức uống quá nóng hoặc quá lạnh.
Vệ sinh răng miệng:
- Chải răng nhẹ nhàng ít nhất 2 lần/ngày bằng bàn chải lông mềm.
- Sử dụng chỉ nha khoa để làm sạch kẽ răng.
- Dùng nước súc miệng (không chứa cồn) để diệt khuẩn.
Tránh thói quen xấu:
- Không nghiến răng.
- Không cắn móng tay, bút chì, hoặc các vật cứng khác.
- Hạn chế hút thuốc lá.
Tái khám định kỳ: Đến Nha Khoa APEX 6 tháng/lần (hoặc theo lịch hẹn của bác sĩ) để kiểm tra miếng trám và vệ sinh răng miệng chuyên sâu.
Theo dõi: Nếu có bất kỳ dấu hiệu bất thường nào (đau, nhạy cảm kéo dài, cộm, vướng, mẻ trám…), hãy liên hệ ngay với Nha khoa APEX.

Câu Hỏi Thường Gặp Về Trám Răng Thẩm Mỹ
1. Khi nào cần thực hiện trám răng thẩm mỹ?
Khi gặp các tình trạng như: sâu răng, mẻ răng, hình dáng không đều, răng bị thưa kẻ, răng mòn cổ hoặc mòn mặt nhai, đổi màu răng,…
2. Trám răng thẩm mỹ có đau không?
Thông thường không đau do có gây tê (nếu cần). Sau khi hết thuốc tê, bạn có thể cảm thấy hơi ê nhẹ, nhưng cảm giác này sẽ nhanh chóng biến mất. Trường hợp khách hàng bị đau do các yếu tố như: Cộm khớp, viêm tủy do răng bị sâu và vỡ lớn, kỹ thuật trám không chính xác.
3. Trám răng thẩm mỹ có bền không, bao lâu thì trám lại?
Trám răng composite khá bền, có thể sử dụng 5-10 năm hoặc lâu hơn nếu được chăm sóc tốt. Tuy nhiên theo Hiệp hội Nha khoa Hoa Kỳ (ADA) khuyến cáo sau một thời gian sử dụng miếng trám có thể thay thế.
Thông Tin Liên Hệ Nha Khoa APEX
- Địa chỉ: Số 290F/1, Nguyễn Văn Linh, An Khánh, Ninh Kiều, Cần Thơ
- Số điện thoại: 084.369.0292
- Email: nhakhoaapex@gmail.com
- Website: nhakhoaapex.vn
- Facebook: Nha Khoa APEX
- Giờ làm việc: 08:00 – 12:00, 14:00 – 18:00 (Thứ 2 – Chủ nhật)
Trám răng thẩm mỹ tại Nha Khoa APEX Cần Thơ là giải pháp an toàn, hiệu quả và tiết kiệm để bạn sở hữu nụ cười tự tin, rạng rỡ. Với đội ngũ bác sĩ giỏi, công nghệ hiện đại, vật liệu composite cao cấp và dịch vụ tận tâm, APEX cam kết mang đến cho bạn kết quả tốt nhất.