Vôi Răng: “Sát Thủ Thầm Lặng” Nguy Hiểm Cho Răng Miệng
Vôi răng từ đâu mà có?
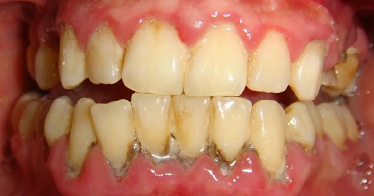
Vôi răng hình thành từ những mảnh vụn thức ăn và mảng bám tích tụ trên răng. Nếu không được loại bỏ thường xuyên, các chất vô cơ trong nước bọt sẽ “vôi hóa” chúng, làm cho các mảng bám trở nên cứng, có màu từ trắng đục đến nâu đen, bám chặt quanh răng, cổ răng và dưới nướu, đó chính là vôi răng.
Tác hại của vôi răng
Vôi răng không chỉ đơn thuần là vấn đề thẩm mỹ. Nó gây ra hàng loạt vấn đề nghiêm trọng:
- Mất thẩm mỹ: Vôi răng khiến răng ố vàng, xỉn màu, ảnh hưởng đến nụ cười.
- Hôi miệng: Vôi răng là nơi trú ngụ lý tưởng cho vi khuẩn, gây mùi hôi khó chịu.
- Viêm nướu: Nướu sưng đỏ, dễ chảy máu là dấu hiệu của viêm nướu do vôi răng.
- Viêm nha chu: Nếu viêm nướu không được điều trị, bệnh sẽ tiến triển thành viêm nha chu, gây tiêu xương, lung lay răng và thậm chí mất răng.
- Biến chứng nặng: Vi khuẩn từ vôi răng có thể xâm nhập vào máu, làm trầm trọng thêm bệnh tiểu đường, tăng nguy cơ mắc bệnh tim mạch, đột quỵ…
Chính vì vậy, các chuyên gia nha khoa khuyến cáo nên đi lấy vôi răng định kỳ 6 tháng/lần (hoặc 3 tháng/lần nếu có nhiều vôi, hút thuốc lá).

Cạo Vôi Răng: Giải Pháp Hiệu Quả và An Toàn
Cạo vôi răng là gì?
Cạo vôi răng là quá trình loại bỏ mảng bám và vôi răng cứng đầu bám trên và dưới nướu răng. Tại Nha khoa APEX, chúng tôi sử dụng công nghệ sóng siêu âm tiên tiến, giúp làm bong các mảng vôi một cách nhẹ nhàng, hiệu quả mà không gây tổn hại đến men răng.
Quy trình cạo vôi răng chuẩn tại Nha khoa APEX
- Thăm khám tổng quát: Bác sĩ sẽ kiểm tra tình trạng răng miệng và mức độ vôi răng của bạn.
- Cạo vôi bằng sóng siêu âm: Đầu cạo vôi siêu âm với tần số rung phù hợp sẽ nhẹ nhàng loại bỏ mảng bám và vôi răng ở cả trên và dưới nướu.
- Đánh bóng răng: Sử dụng bột đánh bóng chuyên dụng để làm mịn bề mặt răng, ngăn ngừa sự tích tụ mảng bám trở lại.
- Tư vấn chăm sóc: Bác sĩ sẽ hướng dẫn bạn cách vệ sinh và chăm sóc răng miệng đúng cách để duy trì kết quả lâu dài.

Lợi Ích Vượt Trội Khi Cạo Vôi Răng
- Răng trắng sáng: Loại bỏ vôi răng giúp răng sáng màu, cải thiện thẩm mỹ nụ cười.
- Giảm hôi miệng: Loại bỏ vi khuẩn trú ngụ trong vôi răng, mang lại hơi thở thơm tho.
- Ngăn ngừa bệnh nướu và nha chu: Giảm nguy cơ viêm nướu, viêm nha chu, chảy máu chân răng và mất răng.
- Cải thiện sức khỏe tổng quát: Giảm nguy cơ mắc các bệnh liên quan đến tim mạch, đột quỵ, tiểu đường.
- Giúp bạn có một hàm răng khỏe mạnh

Nha Khoa APEX: Địa Chỉ Cạo Vôi Răng Cần Thơ Uy Tín, Chuyên Nghiệp
Tại sao Nha khoa APEX là lựa chọn hàng đầu cho dịch vụ cạo vôi răng Cần Thơ?
Đội ngũ bác sĩ chuyên môn cao, giàu kinh nghiệm
Nha khoa APEX tự hào sở hữu đội ngũ bác sĩ có hơn 15 năm kinh nghiệm trong lĩnh vực nha khoa, được đào tạo bài bản và luôn cập nhật những kiến thức, kỹ thuật mới nhất. Chúng tôi cam kết mang đến cho bạn sự chăm sóc tận tâm và kết quả điều trị tốt nhất.
Bác sĩ CKI: Nguyễn Thị Mai Tùng
- Trên 15 năm kinh nghiệm trong lĩnh vực điều trị và thẩm mỹ nha khoa
- Đã từng công tác tại Bệnh viện ĐKTW Cần Thơ từ năm 2008-2017
- Đã tham gia nhiều khóa huấn luyện chuyên sâu và được cấp giấy chứng nhận như Chỉnh
- Hình Răng Mặt, Cấy Ghép Implant, Phục Hình Sứ, Mặt Dán Sứ,…
Bác sĩ CKI: Phan Thị Bích Ngọc
- Trên 15 năm kinh nghiệm trong lĩnh vực điều trị và thẩm mỹ nha khoa
- Đã từng công tác tại Bệnh viện ĐKTW Cần Thơ từ năm 2008-2018
- Đã tham gia nhiều khóa huấn luyện chuyên sâu và được cấp giấy chứng nhận như Chỉnh
- Hình Răng Mặt, Cấy Ghép Implant, Phục Hình Sứ, Mặt Dán Sứ,…
Bác sĩ Cộng Sự:
- Tốt nghiệp Bác sĩ Răng Hàm Mặt hệ chính quy
- Có nhiều năm kinh nghiệm trong lĩnh vực điều trị và thẩm mỹ nha khoa
- Đã tham gia nhiều khóa huấn luyện chuyên sâu về chuyên khoa Răng Hàm Mặt

Trang thiết bị hiện đại, vật liệu cao cấp
Nha khoa APEX đầu tư hệ thống máy móc, trang thiết bị nha khoa hiện đại, nhập khẩu từ các thương hiệu uy tín trên thế giới. Chúng tôi sử dụng vật liệu nha khoa chính hãng, đảm bảo an toàn và hiệu quả cho quá trình điều trị.

Bảng giá chi phí hợp lý, minh bạch
Chúng tôi hiểu rằng chi phí là một trong những yếu tố quan trọng khi lựa chọn dịch vụ nha khoa. Tại Nha khoa APEX, chi phí cạo vôi răng luôn được niêm yết công khai, rõ ràng và hợp lý tương xứng với chất lượng dịch vụ.
| Dịch vụ | Đơn vị tính | Đơn giá (VNĐ) |
| Cạo vôi răng | 2 Hàm | 200.000 – 400.000 |
Tư vấn tận tâm, chuyên nghiệp
Tại Nha khoa APEX, bạn sẽ được tư vấn dựa trên cơ sở y học chính thống, đảm bảo tính trung thực và minh bạch. Chúng tôi luôn lắng nghe và giải đáp mọi thắc mắc của bạn để bạn có thể đưa ra quyết định tốt nhất cho sức khỏe răng miệng của mình.
Câu Hỏi Thường Gặp Về Cạo Vôi Răng
1. Cạo vôi răng có đau không?
Thông thường, cạo vôi răng không gây đau. Bạn có thể cảm thấy hơi ê buốt nhẹ trong lần đầu tiên, nhưng cảm giác này sẽ nhanh chóng biến mất. Với những lần sau, bạn sẽ cảm thấy hoàn toàn bình thường.
2. Cạo vôi răng có ảnh hưởng đến men răng không?
Không. Công nghệ sóng siêu âm tại Nha khoa APEX chỉ tác động lên vôi răng, không gây tổn hại đến men răng.
3. Cạo vôi răng mất bao lâu?
Thời gian cạo vôi răng thường kéo dài từ 20-45 phút, tùy thuộc vào mức độ vôi răng.
4. Cạo vôi răng có làm lung lay răng không?
Hoàn toàn không. Ngược lại, vôi răng chính là nguyên nhân gây lung lay và mất răng. Cạo vôi răng giúp loại bỏ nguy cơ này.
5. Lấy cao răng xong bị tụt nướu có đúng không?
Lấy cao răng không làm tụt nướu. Trên thực tế tụt nướu do vôi răng tích tụ và xâm lấn xuống sâu. Khi lấy cao răng, vùng vôi răng đó được giải phóng sẽ để lại khoảng trống khiến cho nhiều người lầm tưởng lấy vôi răng làm tụt nướu.
6. Tại sao vôi răng gọi là “sát thủ thầm lặng”?
Vì vôi răng gây ra nhiều vấn đề nghiêm trọng cho sức khỏe (viêm nướu, nha chu, thậm chí ảnh hưởng đến tim mạch, tiểu đường…) mà ban đầu không có dấu hiệu rõ ràng. Nó âm thầm phá hủy răng và nướu của bạn. Vì vậy việc nhận biết, loại bỏ vôi răng kịp thời vô cùng quan trọng.
Thông Tin Liên Hệ Nha Khoa APEX
- Địa chỉ: Số 290F/1, Nguyễn Văn Linh, An Khánh, Ninh Kiều, Cần Thơ
- Số điện thoại: 084.369.0292
- Email: nhakhoaapex@gmail.com
- Website: nhakhoaapex.vn
- Facebook: Nha Khoa APEX
- Giờ làm việc: 8:00 – 12:00, 14:00 – 18:00 (Thứ 2 – Chủ nhật)
Đừng để vôi răng “âm thầm” gây hại cho sức khỏe răng miệng của bạn! Hãy đặt lịch hẹn cạo vôi răng Cần Thơ tại Nha khoa APEX ngay hôm nay để được bác sĩ chuyên môn cao trực tiếp thăm khám và tư vấn nhé!