Trồng Răng Implant

Đơn vị

Trụ

Bảo hành

Đang cập nhật

Giá chỉ từ

12.000.000 VNĐ

Mất răng không chỉ ảnh hưởng đến khả năng ăn nhai, mà còn tác động tiêu cực đến thẩm mỹ nụ cười và sự tự tin trong giao tiếp. Nếu bạn đang tìm kiếm giải pháp phục hồi răng mất một cách hiệu quả, bền vững và thẩm mỹ tại Cần Thơ, trồng răng Implant tại Nha khoa APEX chính là lựa chọn hàng đầu. Bài viết này sẽ cung cấp cho bạn thông tin đầy đủ, chi tiết và dễ hiểu về phương pháp trồng răng Implant, quy trình thực hiện, ưu nhược điểm, và lý do tại sao Nha khoa APEX là địa chỉ uy tín mà bạn có thể tin tưởng.

Trồng Răng Implant Là Gì? Giải Pháp Phục Hình Răng Hiện Đại

Định nghĩa

Trồng răng Implant là một kỹ thuật nha khoa tiên tiến, sử dụng trụ Titanium (một loại kim loại tương thích sinh học cao) cấy ghép trực tiếp vào xương hàm tại vị trí răng đã mất. Trụ Implant này đóng vai trò như một chân răng nhân tạo, vững chắc và ổn định. Sau khi trụ Implant tích hợp hoàn toàn với xương hàm (quá trình gọi là tích hợp xương), bác sĩ sẽ gắn một khớp nối Abutment và một mão răng sứ lên trên, tạo thành một chiếc răng hoàn chỉnh, có hình dáng, màu sắc và chức năng tương tự như răng thật.

Cấu tạo của răng Implant

  • Trụ Implant: Thường có hình dạng trụ hoặc ốc vít, được làm từ Titanium, có vai trò thay thế chân răng đã mất.
  • Abutment: Là khớp nối giữa trụ Implant và mão răng sứ, có vai trò nâng đỡ và cố định mão răng.
  • Mão răng sứ: Là phần răng giả, có hình dáng và màu sắc giống như răng thật, được gắn cố định trên Abutment.

Cau tao rang Implant

So sánh Trồng răng Implant với Cầu Răng Sứ và Răng Giả Tháo Lắp

Đặc điểm Trồng răng Implant Cầu Răng Sứ Răng Giả Tháo Lắp
Chức năng

 ~99% như răng thật,
ăn nhai chắc chắn,
không ảnh hưởng răng kế cận

~60-80% như răng thật,
phụ thuộc vào răng trụ
~20-40% như răng thật,
khả năng nhai kém, dễ lỏng lẻo
Chi phí Cao (tính dài hạn
có thể kinh tế hơn)
Trung bình (rẻ hơn Implant
nhưng phải thay
sau 10-15 năm)
Thấp, nhưng có thể
phát sinh chi phí thay mới
Thời gian thực hiện 3-6 tháng (hoặc lâu hơn
nếu ghép xương)
~5-7 ngày (có thể lâu hơn
nếu cần điều trị răng trụ)
~3-7 ngày tùy loại hàm
Độ bền Có thể duy trì vĩnh viễn
nếu chăm sóc tốt
7-15 năm, có thể ngắn hơn
nếu răng trụ yếu
3-5 năm, dễ hao mòn,
phải thay mới
Ưu điểm – Chức năng ăn nhai tốt nhất,
gần như răng thật
– Thẩm mỹ cao, không lộ móc
– Ngăn tiêu xương, bảo vệ nướu
– Không ảnh hưởng răng kế cận
– Chi phí hợp lý hơn Implant
– Thời gian làm nhanh
– Đảm bảo thẩm mỹ khá tốt
– Chi phí thấp
– Không cần phẫu thuật
– Phù hợp với người lớn tuổi
hoặc mất nhiều răng
Nhược điểm

– Chi phí cao
– Thời gian điều trị lâu
– Cần phẫu thuật, không phù hợp
với một số bệnh nhân (tiểu đường nặng,
loãng xương…)

– Phải mài răng thật kế cận,
có thể làm răng yếu dần
– Không ngăn được tiêu xương
– Nếu răng trụ yếu, cầu răng
dễ hư hỏng
– Chức năng ăn nhai kém
– Có thể gây hôi miệng, viêm nướu
– Bất tiện khi tháo lắp, vệ sinh
– Gây tiêu xương hàm theo thời gian

Xem thêm dịch vụ: Răng giả tháo lắp

Ưu Điểm Vượt Trội Của Trồng Răng Implant

Trồng răng Implant mang lại nhiều lợi ích vượt trội so với các phương pháp phục hình răng truyền thống, bao gồm:

  • Khôi phục chức năng ăn nhai hoàn hảo: Răng Implant có độ bền và khả năng chịu lực cao, giúp bạn ăn nhai thoải mái như răng thật, kể cả các thức ăn cứng, dai.
  • Tính thẩm mỹ cao: Mão răng sứ được chế tác tinh xảo, có màu sắc và hình dáng tự nhiên, hài hòa với các răng kế cận, mang lại nụ cười tự tin.
  • Ngăn chặn tiêu xương hàm: Trụ Implant đóng vai trò như chân răng thật, kích thích xương hàm phát triển, ngăn ngừa tình trạng tiêu xương – một biến chứng thường gặp sau khi mất răng, gây ảnh hưởng đến thẩm mỹ khuôn mặt và sức khỏe răng miệng.
  • Bảo vệ các răng kế cận: Không cần mài các răng thật bên cạnh như phương pháp làm cầu răng, bảo tồn tối đa răng thật.
  • Độ bền cao: Nếu được chăm sóc đúng cách, răng Implant có thể tồn tại vĩnh viễn.
  • Cải thiện phát âm: Răng Implant giúp khôi phục cấu trúc răng miệng, cải thiện khả năng phát âm, đặc biệt là với những trường hợp mất răng cửa.
  • Tăng sự tự tin: Có một hàm răng đầy đủ, khỏe mạnh và đẹp tự nhiên giúp bạn tự tin hơn trong giao tiếp và cuộc sống hàng ngày.

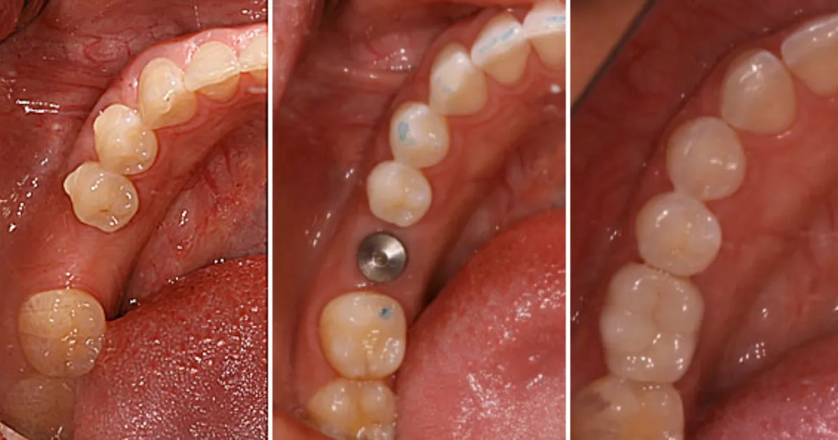
Cay ghep implant vung R36 3

 

Nhược Điểm Cần Lưu Ý Khi Trồng Răng Implant

Mặc dù có nhiều ưu điểm, trồng răng Implant vẫn có một số nhược điểm cần cân nhắc:

  • Chi phí cao hơn: So với các phương pháp phục hình răng truyền thống như cầu răng sứ hay hàm giả tháo lắp, trồng răng Implant có chi phí cao hơn do đòi hỏi kỹ thuật cao, vật liệu cao cấp.

  • Thời gian điều trị có thể kéo dài: Quá trình tích hợp xương của trụ Implant có thể mất từ 3-6 tháng, tùy thuộc vào tình trạng xương hàm và cơ địa của từng người.

  • Yêu cầu kỹ thuật cao: Để đảm bảo thành công, quá trình trồng răng Implant cần được thực hiện bởi bác sĩ có chuyên môn cao, giàu kinh nghiệm và được hỗ trợ bởi trang thiết bị hiện đại.

  • Có thể có một số rủi ro: Tuy nhiên, điều này rất hiếm gặp.

Quy Trình Trồng Răng Implant Chuẩn Quốc Tế Tại Nha Khoa APEX

Tại Nha khoa APEX, quy trình trồng răng Implant được thực hiện theo tiêu chuẩn quốc tế, đảm bảo an toàn, hiệu quả và không đau:

Bước 1: Thăm khám và tư vấn

  • Bác sĩ chuyên khoa Implant sẽ thăm khám tổng quát tình trạng răng miệng của bạn.
  • Chụp phim CT Cone Beam để đánh giá chính xác chất lượng, mật độ xương hàm, xác định vị trí đặt Implant tối ưu.
  • Dựa trên kết quả thăm khám, bác sĩ sẽ tư vấn chi tiết về phương án điều trị phù hợp, loại trụ Implant, chi phí và thời gian thực hiện.
  • Giải đáp mọi thắc mắc của bạn để bạn hoàn toàn yên tâm trước khi tiến hành.

Bước 2: Cấy ghép trụ Implant

  • Thực hiện gây tê tại chỗ hoặc gây mê (tùy thuộc vào tình trạng sức khỏe và mong muốn của bạn) để đảm bảo quá trình cấy ghép diễn ra hoàn toàn không đau.
  • Bác sĩ sẽ cẩn thận cấy ghép trụ Implant vào xương hàm tại vị trí răng đã mất.
  • Thời gian thực hiện cho mỗi trụ Implant thường chỉ mất khoảng 15-20 phút.

Bước 3: Giai đoạn tích hợp xương

  • Sau khi cấy ghép, trụ Implant cần thời gian để tích hợp với xương hàm, thường mất từ 3-6 tháng.
  • Trong thời gian này, bạn cần tuân thủ hướng dẫn của bác sĩ về chế độ ăn uống (ưu tiên thức ăn mềm, tránh nhai trực tiếp vào vùng cấy ghép) và vệ sinh răng miệng đúng cách.

Bước 4: Lắp Abutment

  • Khi trụ Implant đã tích hợp hoàn toàn, bác sĩ sẽ tiến hành lắp Abutment – khớp nối giữa trụ Implant và mão răng sứ.

Bước 5: Lấy dấu răng và chế tạo mão sứ

  • Nha khoa APEX sử dụng công nghệ quét dấu răng kỹ thuật số hiện đại, cho hình ảnh chính xác, sắc nét, giúp chế tạo mão răng sứ có độ tương thích cao nhất.
  • Mão răng sứ được chế tác tại labo với chất liệu sứ cao cấp, đảm bảo tính thẩm mỹ và độ bền.

Bước 6: Lắp mão sứ

  • Bác sĩ sẽ gắn cố định mão sứ lên Abutment, hoàn tất quá trình trồng răng Implant.
  • Kiểm tra khớp cắn, điều chỉnh nếu cần thiết để đảm bảo răng Implant có chức năng ăn nhai tốt nhất.

Bước 7: Hướng dẫn chăm sóc và tái khám

  • Bác sĩ sẽ hướng dẫn bạn chi tiết về cách vệ sinh răng miệng, chế độ ăn uống phù hợp để duy trì răng Implant lâu dài.
  • Lịch hẹn tái khám định kỳ sẽ được đặt ra để bác sĩ kiểm tra tình trạng răng Implant, đảm bảo mọi thứ diễn ra tốt đẹp.
Quy Trinh Trong Rang Implant Chuan Quoc Te Tai Nha Khoa APEX
Quy trình trồng răng Implant chuẩn quốc tế tại Nha khoa APEX

Các Loại Trụ Implant Tại Nha Khoa APEX

Nha khoa APEX cung cấp đa dạng các loại trụ Implant chính hãng, chất lượng cao, đáp ứng mọi nhu cầu và điều kiện tài chính của khách hàng:

  • Implant Dio (Hàn Quốc): Loại trụ phổ biến, có thiết kế tối ưu cho khả năng tích hợp xương tốt, giá thành hợp lý.
  • Implant Kontact (Pháp): Trụ Implant cao cấp với công nghệ xử lý bề mặt tiên tiến, thúc đẩy quá trình lành thương nhanh chóng.
  • Implant SIC (Thụy Sĩ): Được làm từ vật liệu titanium tinh khiết, đảm bảo độ an toàn và tương thích sinh học cao.
  • Implant Nobel Biocare (Mỹ): Thương hiệu Implant hàng đầu thế giới, nổi tiếng về chất lượng, độ bền và tỷ lệ thành công cao.

Trường Hợp Nên Và Không Nên Trồng Răng Implant

Nên trồng răng Implant

  • Người bị mất một hoặc nhiều răng do tai nạn, bệnh lý…
  • Người có răng bị hư hỏng nặng, không thể phục hồi bằng các phương pháp thông thường.
  • Người có xương hàm đủ điều kiện về chất lượng và mật độ.
  • Người có sức khỏe tổng quát tốt, không mắc các bệnh lý mãn tính nghiêm trọng.

Không nên trồng răng Implant (Chống chỉ định)

  • Trẻ em dưới 18 tuổi (xương hàm chưa phát triển hoàn thiện).
  • Phụ nữ đang mang thai.
  • Người mắc bệnh tiểu đường không kiểm soát được, bệnh tim mạch nặng, rối loạn đông máu…
  • Người nghiện thuốc lá nặng (gây ảnh hưởng xấu đến quá trình lành thương).
  • Người đang có các vấn đề về nhiễm trùng tại vùng răng miệng cần điều trị.
  • Các trường hợp cụ thể khác (cần được bác sĩ thăm khám và đánh giá kỹ lưỡng).

Truong Hop Nen Va Khong Nen Trong Rang Implant

Bảng Giá Trồng Răng Implant Tại Cần Thơ – Nha Khoa APEX

Tại Nha khoa APEX, chúng tôi cam kết mang đến dịch vụ trồng răng Implant chất lượng cao với chi phí hợp lý, minh bạch và rõ ràng.

Dịch vụ Đơn vị tính Đơn giá (VNĐ)
Trồng răng Implant Trụ 12.000.000 – 25.000.000

Chi phí trồng răng Implant thường phụ thuộc vào các yếu tố sau:

  • Loại trụ Implant: Mỗi loại trụ Implant có mức giá khác nhau, tùy thuộc vào thương hiệu, xuất xứ và công nghệ sản xuất.
  • Tình trạng răng miệng: Nếu bạn cần thực hiện các thủ thuật bổ sung như ghép xương, nâng xoang, chi phí sẽ cao hơn.
  • Số lượng răng cần trồng: Trồng càng nhiều răng, chi phí càng cao.
  • Chất liệu mão răng sứ.

Nha khoa APEX có chính sách thanh toán linh hoạt, giúp bạn dễ dàng tiếp cận dịch vụ trồng răng Implant chất lượng cao.

Nha Khoa APEX – Địa Chỉ Trồng Răng Implant Uy Tín Hàng Đầu Tại Cần Thơ

Nha khoa APEX tự hào là địa chỉ trồng răng Implant uy tín, được đông đảo khách hàng tại Cần Thơ và các tỉnh lân cận tin tưởng lựa chọn, bởi những thế mạnh vượt trội:

Đội ngũ bác sĩ chuyên môn cao, giàu kinh nghiệm

  • Bác sĩ tại Nha khoa APEX  có trình độ chuyên môn cao, được đào tạo bài bản về chuyên ngành Implant, có nhiều năm kinh nghiệm thực tế, thực hiện thành công nhiều ca trồng răng Implant.
  • Luôn tận tâm, chu đáo, lắng nghe và tư vấn giải pháp tốt nhất cho từng khách hàng.

Doi ngu bac si trong rang Implant chuyen mon cao giau kinh nghiem

Cơ sở vật chất, trang thiết bị hiện đại

  • Nha khoa APEX đầu tư hệ thống máy móc, trang thiết bị nha khoa tiên tiến, nhập khẩu chính hãng.
  • Công nghệ quét dấu răng kỹ thuật số cho hình ảnh chính xác, giúp chế tạo mão răng sứ có độ tương thích cao.
  • Phòng phẫu thuật vô trùng tuyệt đối, đảm bảo an toàn cho khách hàng.

Co so vat chat trang thiet bi hien dai tai Nha khoa APEX

Quy trình chuyên nghiệp, an toàn, không đau

  • Quy trình trồng răng Implant tại Nha khoa APEX tuân thủ nghiêm ngặt các tiêu chuẩn quốc tế, đảm bảo an toàn tuyệt đối.
  • Sử dụng các kỹ thuật gây tê hiện đại, giúp quá trình cấy ghép diễn ra nhẹ nhàng, không đau.

Chế độ bảo hành uy tín, lâu dài

Nha khoa APEX cam kết bảo hành cho dịch vụ trồng răng Implant, giúp khách hàng yên tâm về chất lượng và độ bền của răng Implant.

Đảm bảo pháp lý và chuyên môn

Nha khoa APEX tự hào là nha khoa được cấp phép chính thức từ Sở Y Tế TP Cần Thơ, chúng tôi cam kết đem lại sự hoàn hảo và uy tín trong từng dịch vụ, để lại một nụ cười xinh trên môi của khách hàng.

Chăm Sóc Răng Implant Sau Khi Trồng – Bí Quyết Duy Trì Độ Bền

Để răng Implant có tuổi thọ cao nhất, bạn cần tuân thủ chế độ chăm sóc đặc biệt:

Vệ sinh răng miệng:

  • Chải răng ít nhất 2 lần/ngày bằng bàn chải lông mềm và kem đánh răng chứa Fluoride.
  • Sử dụng chỉ nha khoa để làm sạch kẽ răng.
  • Sử dụng nước súc miệng kháng khuẩn để loại bỏ vi khuẩn.

Chế độ ăn uống:

  • Trong giai đoạn đầu sau khi cấy ghép, nên ăn thức ăn mềm, tránh nhai trực tiếp vào vùng cấy ghép.
  • Hạn chế đồ ăn quá cứng, dai, quá nóng hoặc quá lạnh.
  • Tránh các chất kích thích như rượu, bia, thuốc lá.

Tái khám định kỳ: Tuân thủ lịch hẹn tái khám của bác sĩ để kiểm tra tình trạng răng Implant và phát hiện sớm các vấn đề (nếu có).

Khi thấy có dấu hiệu bất thường như: sưng nướu kéo dài, chảy máu, đau nhức… hãy liên hệ ngay với Nha khoa APEX để được xử lý kịp thời.

Cham Soc Rang Implant Sau Khi Trong

Câu Hỏi Thường Gặp Về Trồng Răng Implant

Dưới đây là giải đáp cho những câu hỏi thường gặp nhất về trồng răng Implant:

1. Trồng răng Implant có đau không?

Quá trình trồng răng Implant được thực hiện dưới gây tê tại chỗ, nên bạn sẽ không cảm thấy đau trong suốt quá trình phẫu thuật. Sau khi hết thuốc tê, có thể có cảm giác hơi ê ẩm, nhưng sẽ giảm dần và hết hẳn sau vài ngày. Bác sĩ sẽ kê đơn thuốc giảm đau và kháng viêm để bạn cảm thấy thoải mái hơn.

2. Quy trình trồng răng Implant mất bao lâu?

Toàn bộ quy trình, từ khi cấy ghép trụ Implant đến khi hoàn thiện mão răng sứ, thường kéo dài từ 3-6 tháng. Tuy nhiên, thời gian cụ thể có thể thay đổi tùy thuộc vào tình trạng xương hàm, số lượng răng cần trồng, và cơ địa của từng người. Một số trường hợp có thể cần thêm thời gian nếu phải thực hiện ghép xương.

3. Trồng răng Implant có an toàn không?

Trồng răng Implant là một phương pháp rất an toàn và hiệu quả, với tỷ lệ thành công rất cao (trên 95%). Tuy nhiên, như bất kỳ thủ thuật y khoa nào, vẫn có một số rủi ro nhỏ, nhưng rất hiếm gặp nếu được thực hiện bởi bác sĩ có chuyên môn cao và tuân thủ đúng quy trình.

4. Ai có thể trồng răng Implant?

Hầu hết người trưởng thành (trên 18 tuổi) bị mất răng và có sức khỏe tổng quát tốt đều có thể trồng răng Implant. Tuy nhiên, bác sĩ sẽ cần thăm khám và đánh giá kỹ lưỡng trước khi quyết định.

5. Trồng răng Implant có đắt không?

Trồng răng Implant chi phí tuy có cao hơn so với làm răng sứ và hàm giả tháo lắp, nhưng Implant là giải pháp tối ưu cho trường hợp bị mất răng vì tính hiệu quả, bền lâu và độ thẩm mỹ mà nó mang lại, thậm chí là vĩnh viễn nếu được chăm sóc tốt.

6. Implant có cần chăm sóc đặc biệt gì không?

Răng Implant cần được chăm sóc như răng thật: chải răng đúng cách, dùng chỉ nha khoa, và đi khám nha khoa định kỳ.

7. Implant có thể bị hỏng không?

Implant có thể bị viêm nhiễm hoặc đào thải nếu không được chăm sóc đúng cách, hoặc do các yếu tố khác như bệnh lý toàn thân, hút thuốc lá… Tuy nhiên, tỷ lệ này rất thấp.

8. Có phương pháp nào thay thế cho implant không

Cầu Răng sứ và hàm giả là 2 phương án còn lại cho các trường hợp mất răng, tùy theo điều kiện mà bác sĩ sẽ chỉ định cho bệnh nhân phương pháp điều trị thích hợp.

9. Trồng răng Implant có làm ảnh hưởng răng kế cận không.

Một trong những lợi ích lớn nhất mà Implant mang lại so với các phương pháp phục hình răng khác là nó không cần sự hỗ trợ từ các răng bên cạnh, chính vì vậy không cần mài các răng kế cận như phương pháp làm cầu răng.

Thông Tin Liên Hệ Nha Khoa APEX

Đừng để mất răng ảnh hưởng đến nụ cười và chất lượng cuộc sống của bạn! Hãy liên hệ ngay với Nha khoa APEX để được tư vấn miễn phí và trải nghiệm dịch vụ trồng răng Implant uy tín, chất lượng hàng đầu tại Cần Thơ!

Dr. Mai Tùng (Bác sĩ CKI)

Với hơn 17 năm kinh nghiệm trong điều trị và thẩm mỹ nha khoa, bác sĩ từng công tác tại Bệnh viện Đa khoa Trung ương Cần Thơ (2008-2017). Bác sĩ đã được đào tạo chuyên sâu và có chứng nhận trong các kỹ thuật như chỉnh hình răng mặt, cấy ghép implant, và phục hình sứ, mang đến dịch vụ chất lượng cao cho khách hàng.

Tin tức mới nhất

Tư vấn miễn phí

Hãy để lại thông tin của Quý khách để được nhận tư vấn miễn phí.

Tư vấn miễn phí

Hãy để lại thông tin của Quý khách để được nhận tư vấn miễn phí.